犬猫子宫蒂蓄脓症与病例分享
犬猫绝育手术概况
雌性犬猫的绝育手术应该是兽医临床门诊中最常见的手术之一,也是兽医的基础技能,是手术室主要的病例组成。国内外一直有人在研究非手术方法对猫狗实施绝育或者阉割,但是非常遗憾,到目前为止仍然没有有效而安全的药物被研发出来。
猫的绝育术主要可分为三种手术通路,既腹部正中切口、腰部侧切和内窥镜手术。
在国外很多外科医生已经开始进行内窥镜手术了,但是由于门框较高,在国内还不能大量应用。内窥镜手术的优点是切口小,对腹腔内组织的侵袭小。缺点是手术硬件的要求较高,而且只能进行常规的绝育手术,只能摘除卵巢,不能切除子宫角,对于存在子宫或者卵巢病变的病例也不能进行内窥镜手术。
腰部侧切口,在国内有很多外科医生在做,手术技术要求不高,而且有切口小,愈合快的优点。但是同样不适用于在子宫或者卵巢病变的病例,而且从腹侧开口容易伤到内部脏器,尤其是脾脏。
腹部正中切口是最经典的手术通路,熟练的外科医生可以在很短的时间,做很小的切口完成手术。这种手术通路可以适用于各种子宫或者卵巢的病变。
至于手术的方法主要也存在三种,卵巢悬吊韧带结扎法、卵巢摘除术和卵巢子宫摘除术。由于猫的卵巢悬吊韧带存在较少的脂肪和较细的血管,所以可以进行类似公猫精索结扎的方法,通过自体结扎完成手术(狗和兔子是不能这么做的,因为他们的韧带和卵巢上都覆盖着较厚的脂肪和较粗的血管)。
狗的绝育手术通路有两种,即腹部正中切口和内窥镜手术。优缺点和猫的类似。
目前有些医生认为,可以学习人医的经验,不摘除卵巢,仅仅只是结扎输卵管,从而达到避孕。认为这样既能达到目的,也不会影响动物的性格。这其实是非常无知而荒谬的想法。从解剖结构上说,人的输卵管较长,做输卵管结扎是比较理想的,但是狗和猫的输卵管很短,基本上卵巢和子宫角是直接相连的,而且对于狗来说输卵管的位置较深,手术难度非常大,无法做到完全有效的单纯结扎输卵管。而且从动物行为学上看,绝育不会完全影响犬猫的行为,犬猫的发情是一种受内分泌影响的习惯性行为,由激素分泌量决定行为的强度,激素分泌多,行为就会表现的明显,激素分泌少,就会不明显。这并不是动物的本性。基于这方面考虑,为了避免各种遗传性疾病的发生(比如子宫积脓、子宫肿瘤,卵巢肿瘤,乳腺炎,乳腺肿瘤,子宫内膜炎),大多数兽医都建议尽早通过手术的方法摘除卵巢和子宫。而且如果仅结扎子宫角而未进行截断,有少数情况仍会受孕,如果只是截断子宫角,而不摘除卵巢,雌性激素仍然还会持续分泌,这样就无法避免乳腺疾病和卵巢疾病的发生。
犬猫子宫蒂部蓄脓症(Uterine stump pyometra)
子宫卵巢不完全摘除的犬猫,残留的卵巢组织会释放黄体素(黄体酮Progesterone),使残留的卵巢和子宫重新出现发情时的生理变化,从而出现病变。
目前这种疾病的发生率越来越高,症状的表现非常类似子宫内膜炎(阴道流脓性分泌物,厌食,多饮,精神差),实验室指标也会出现核左移的中性粒细胞升高。
治疗方法主要是手术治疗,重新开腹,切除残留的卵巢和子宫。
子宫蒂部蓄脓症的预防方法是手术时完全摘除子宫角和子宫体,子宫体的结扎部位刚好在子宫颈的头侧方。卵巢也应该完全摘除,减掉卵巢悬吊韧带时,一定要仔细检查是否有残留的卵巢组织。不可吸收性缝合线、不良的无菌操作和手术中子宫保留太多不活化的组织,都会引起子宫蒂部发炎和肉芽肿,因此手术过程中应该避免这些情况的出现。
病例分享
病例一
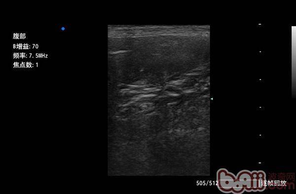
混血犬,15岁,雌性,5年前做过绝育术。最近一个月阴道频繁出现脓性分泌物,精神食欲未见异常。半个月前进行血液常规检查和x光检查,未见异常,初步怀疑为泌尿道炎症,进行抗生素治疗。最近一周,阴道出现血性分泌物,精神食欲稍差,血液检查,有核左移的嗜中性粒细胞增高现象。B超检查显示子宫断端积液,肾脏后方有团块状阴影。

B超检查
B超检查:膀胱背侧可探及条带样结构,直径1.5-2cm,腔内呈无回声至低回声反射;肾脏尾侧可探及低回声卵圆型结构,长度约1.4-1.5cm。
膀胱壁增厚,腔内可探及高回声光点反射。
进行开腹检查,发现残留的卵巢和子宫组织。摘除后,身体状况改善,未见其他异常。
切除组织进行病理学检查。结论是粒层细胞/卵泡膜细胞瘤。这是卵巢最常见的肿瘤。此病例中,肿瘤可能起源于异位性粒层细胞,因为根据临床病史,送检样本中未见卵巢组织。这样的肿瘤罕见转移的情况。预后良好。
病例二
混血猫,13岁,雌性,大概10年前做过绝育。最近一段时间突然出现厌食和消瘦现象。血液检查有肾功能衰竭现象。腹部能够触摸到一个强回声的团块。

B超检查
B超检查,腹腔内有一高回声团装物,肾脏轮廓不光滑。
此猫因为存在肾功能衰竭的问题,体质虚弱,开腹探查存在很大风险。但是为了解决根本问题必须手术治疗。经过沟通,主人愿意接受手术风险,遂进行开腹探查。
开腹探查
开腹探查
开腹探查
开腹后,发现有残留的子宫与膀胱黏连,膀胱表面有核头大小,弹性较强的肿块。外科方法分离肿块,无明显出血。正常闭合腹壁。手术完成,肿块送病理检查。
病理分析:在组织学上,可发现有间质组织起源的组织的恶性肿瘤性生长。肿瘤细胞表现为纺锤形的生长模式,伴有多个区域具有大量的软骨样和骨样分化表现。可见中等程度至明显程度的细胞大小不均和细胞核大小不均表现。可见到多个有丝分裂相。其表现出侵袭性生长。在切面边缘仍可见肿瘤的生长扩张至此。
病理学诊断为肉瘤。肉瘤为间质组织起源的恶性肿瘤。在本病例中,伴有软骨样和骨样化生的纤维肉瘤为考虑的主要诊断。作为鉴别诊断考虑,组织学上不能排除骨肉瘤的可能。遂告知主人,此猫预后极差。
通过一周的常规治疗,猫的各方面指标有所改善。肾指标也控制在相对安全范围。于是同意出院治疗。回家后一个月,猫突然死亡。分析原因有可能是肿瘤扩散或者肾功能衰竭所致。